Terri Schiavo's Husband: Jeb Bush 'Put Me Through Hell'

Look douche, this has nothing to DO with politics for me. My life doesn't revolve around politics unlike your shallow self.

Of course this is about politics. The only reason why you know who Terri Schaivo is because someone decided to make a political issue out of her situation.

That you are too dumb to realize you are being played really isn't my problem.
Says the con artist trying to pursuade the masses.
 
You are just too shallow. If this was my child and there was SLIGHTEST chance that she would suffer from the action of removing the feeding tube, I would fight it tooth and nail with everything I had. Just because you are an ass doesn't mean everyone else is.

But the point is, there wasn't even the SLIGHTEST chance.
 
Look douche, this has nothing to DO with politics for me. My life doesn't revolve around politics unlike your shallow self.

Of course this is about politics. The only reason why you know who Terri Schaivo is because someone decided to make a political issue out of her situation.

That you are too dumb to realize you are being played really isn't my problem.

You are just too shallow. If this was my child and there was SLIGHTEST chance that she would suffer from the action of removing the feeding tube, I would fight it tooth and nail with everything I had. Just because you are an ass doesn't mean everyone else is.
The thing to fight for is to make sure that when you put her down, no one could possibly feel any pain. That is the proper method.
 
Look douche, this has nothing to DO with politics for me. My life doesn't revolve around politics unlike your shallow self.

Of course this is about politics. The only reason why you know who Terri Schaivo is because someone decided to make a political issue out of her situation.

That you are too dumb to realize you are being played really isn't my problem.
Says the con artist trying to pursuade the masses.

I'm actually hitting you with more truth than you can handle.

Obviously
 
Look douche, this has nothing to DO with politics for me. My life doesn't revolve around politics unlike your shallow self.

Of course this is about politics. The only reason why you know who Terri Schaivo is because someone decided to make a political issue out of her situation.

That you are too dumb to realize you are being played really isn't my problem.
Says the con artist trying to pursuade the masses.

I'm not even going to continue on with that POS. He isn't any better than the woman's POS husband. Have fun. :)
 
Look douche, this has nothing to DO with politics for me. My life doesn't revolve around politics unlike your shallow self.

Of course this is about politics. The only reason why you know who Terri Schaivo is because someone decided to make a political issue out of her situation.

That you are too dumb to realize you are being played really isn't my problem.
Says the con artist trying to pursuade the masses.

I'm actually hitting you with more truth than you can handle.

Obviously
Look douche, this has nothing to DO with politics for me. My life doesn't revolve around politics unlike your shallow self.

Of course this is about politics. The only reason why you know who Terri Schaivo is because someone decided to make a political issue out of her situation.

That you are too dumb to realize you are being played really isn't my problem.
Says the con artist trying to pursuade the masses.

I'm actually hitting you with more truth than you can handle.

Obviously
You wouldn't know the truth if it bit you in the ass. So ... no.
 
Bottom line, she was burden to him and he wanted to be rid of her and collect the life insurance policy.

He wanted her dead and out of the way and wanted to collect the insurance money. That much is obvious to anyone with a functioning brain cell. Perhaps you are brain dead? :D

He cared about the life insurance money and starting a new life.


Please provide some reputable support for your claim about life insurance? Was there a policy? Issue by who? What was the value of the policy? What company is going to issue a high value life insurance policy for a woman in server medical distress (i.e. pvs)? Where in the court documents is there any substantiation of a claim for life insurance money?


>>>>
 
Look douche, this has nothing to DO with politics for me. My life doesn't revolve around politics unlike your shallow self.

Of course this is about politics. The only reason why you know who Terri Schaivo is because someone decided to make a political issue out of her situation.

That you are too dumb to realize you are being played really isn't my problem.

You are just too shallow. If this was my child and there was SLIGHTEST chance that she would suffer from the action of removing the feeding tube, I would fight it tooth and nail with everything I had. Just because you are an ass doesn't mean everyone else is.
I think anymore time here is wasted. They keep repeating the same, medically incorrect crap. They don't know what PVS is and they are ineducable because evil to them is more important than truth. I find it useless to argue with the servants of Satan and the culture of death.
 
Look douche, this has nothing to DO with politics for me. My life doesn't revolve around politics unlike your shallow self.

Of course this is about politics. The only reason why you know who Terri Schaivo is because someone decided to make a political issue out of her situation.

That you are too dumb to realize you are being played really isn't my problem.

You are just too shallow. If this was my child and there was SLIGHTEST chance that she would suffer from the action of removing the feeding tube, I would fight it tooth and nail with everything I had. Just because you are an ass doesn't mean everyone else is.
I think anymore time here is wasted. They keep repeating the same, medically incorrect crap. They don't know what PVS is and they are ineducable because evil to them is more important than truth. I find it useless to argue with the servants of Satan and the culture of death.
I agree. Their goal isn't to discuss anything anyway it is to spam the board.
 
JoeB said:
I figured this out in 2008. And then I stopped voting Republican. At least until they chase the religious crazies out of the party.
You seem like a crazy religious nutjob IMO. Dude, Scientology is a whacko religious cult.
 
Neither was hers.

At the point of death, ALL body organs begin to liquefy.

Her brain didn't get soupy until after she was killed.

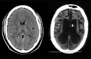
Schiavo_catscan.jpg


The image on the left is a normal brain, the image on the left was Terri's brain in 2002, the massive black areas are where her brain had turned to soup. She didn't die until 2005, 3 years later.


NeuroLogica Blog Schiavo and the Persistent Vegetative State

>>>>
 
Why did Jeb Bush place the government between Terri and her husband?
 
Ms. Schiavo showed signs of feeling pain, showed signs of recognition when her parents came to see her, smiled and made sounds in an attempt to communicate, had facial expressions that were in response to stimuli. That is not a brain dead person. Severely retarded and will never be the same person that she once was? Yes. However, none of you can say that she didn't or couldn't derive some kind of pleasure from life.

There would have been NO harm done to let her parents care for her until she died naturally, as she was NOT in pain when she had her feeding tube connected.

So, I guess we should just start putting retarded people and old people who suffer from dementia to death now, according to the heartless liberals who care more about animals than people.

Yeah, that is what they claimed. And while a nerve reaction to pain might have happened, she did not recognize anyone. The entire portion of her brain that was her intellect has liquified.
Bottom line, she was burden to him and he wanted to be rid of her and collect the life insurance policy.

He wanted her dead and out of the way and wanted to collect the insurance money. That much is obvious to anyone with a functioning brain cell. Perhaps you are brain dead? :D

He cared about the life insurance money and starting a new life.


Please provide some reputable support for your claim about life insurance? Was there a policy? Issue by who? What was the value of the policy? What company is going to issue a high value life insurance policy for a woman in server medical distress (i.e. pvs)? Where in the court documents is there any substantiation of a claim for life insurance money?


>>>>

Yeah he didn't waste any time.

Same day he managed to finally kill her. Man oh man she wasn't even freaking cold.

Terri Schiavo’s Estranged Husband Granted Estate on Day She Dies

Clearwater, FL (LifeNews.com) — Terri Schiavo’s estranged husband Michael wasted no time in pursuing what was left of Terri’s estate after she passed away on March 31. The disabled woman died after suffering from a painful 13 day starvation and dehydration.

Terri died just after 9:00 a.m. on the morning of the 31st and court papers filed with Circuit Court Judge George Greer show Michael’s attorneys filed the estate request just hours later.

By 1:35 p.m., Greer had ruled in Michael’s favor to receive Terri’s estate.

Terri Schiavo 8217 s Estranged Husband Granted Estate on Day She Dies LifeNews.com
 
15th post
Back
Top Bottom