Follow along with the video below to see how to install our site as a web app on your home screen.
Note: This feature may not be available in some browsers.
Her life, however short, will be full of warmth and comfort which she would never have found on the street. And she brings you joy, too.btw...the SNAP test came back from the lab. She has leukemia. No question about it.
But...I already was prepared for that info and it comes as no shock. We will do as I stated..love her and take care of her until its time to send her off to meet Karma, Gracie, Pretties, Charlie, Chooch and FatCat...just to name a few of those in my life that I loved.
She had an injured eye and filthy ears. I've been treating both and she's looking a lot better. She's even got an appetite and is tearing up the trash again. Came home yesterday and she'd gotten into my compost bucket and tore up an old Cheezits box she's taken from my burn box.I thought maybe she would show back up...but didn't want to give false hope. So glad she did!! WOOT!!!WooHoo!!! Roxy showed back up this afternoon, ate her food and wanted some treats. She was damp and patchy with mud. My guess, she went down to the creek to cool off. Tomorrow: a haircut for Roxy. I apologize for the false alarm, folks, but am so happy she's still with us.
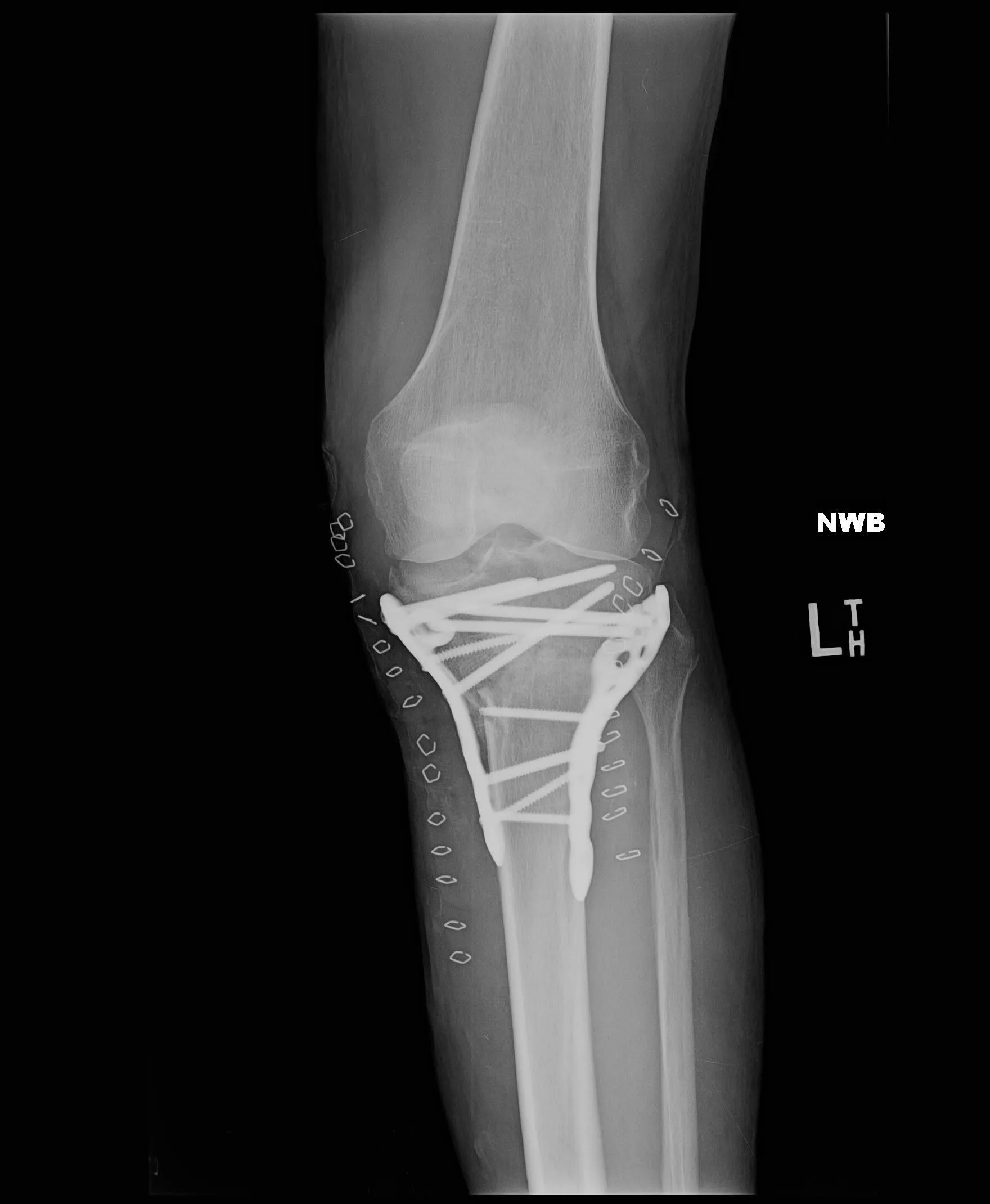
Hot damn! The bionic man lives again!I guess I didn't tell y'all about my knee. In March of '17, I was dismantling a wall of glass block 5 feet high and 20 feet long when it collapsed, trapping me below it. They call the injury a tibia plateau fracture. Basically, I crushed the lower part of my knee where the tibia and fibula join. Had surgery with hardware and bone grafts and was in the hospital for 9 days, bed for 21 days and wheel chair until July. The leg is still not as strong as it should be, but there is no noticeable limp most days until I twist it wrong.View attachment 264988I'm glad you took care of your knees. I had my knee scoped 20 years ago and had forgotten all about it because it worked pretty good. Now, the other knee is bothering me. I think it's the other knee....Had similar experience with compression socks when I was recovering from my knee surgery.How have you been lately, Peach? Mr. Peach still tooling around on his "bike"?
I've been pretty busy doings things around and in the house.
Trying to get everything organized also (things no longer needed thrown out) and slowly painting each room.
It's very frustrating for me to try and reconcile with the fact of what used to take a few hours in youth now takes days. !
Mr. P joined the Fraternal Order of Eagles motorcycle club a few months back and they get together and go out on rides for several hours every once in a while.
Then he rides almost every day just traveling around Cochise County.
Mr. P is doing pretty well, it's remarkable how he gets around having only one quarter of his heart working and having MS."what used to take a few hours in youth now takes days. !"I've been thinking that a lot lately. One day it took half an hour to put on a pair of those compression socks to help keep the swelling off my ankles. They were so tight I almost had to cut them off with kitchen shears, but that took 20 minutes. At the end of 20 minutes, I was just mad. I thought it's awful to spend almost an hour to put on socks when in high school, we used to get 10 minutes to leave the gymn, shower, dry off, dress, and get to the next class after stopping by a locker to change books. lol
What a difference a lifetime makes.![]()
Y'all do know about that, don't you?![]()
Mr. P has to put on a compression thigh sock every day and has been doing it for 25 years.
Hugs up, beautress.The Tom and Jerry pals were around before me. I visited EJ this morning in hospice. He may not make it through the end of the week. He hasn't talked for nearly a week now, and he isn't eating or drinking anything. That's about what happened to my husband his last week. He died on June 13, 2016. June isn't my lucky month, it seems.
I doubt anyone here finds you whiny. It's tough to let those chicks leave the nest but they must if your job is to be complete. After all, didn't you raise them to become their own person and accomplish great things?My youngest just graduated from high school last week and had been working with a recruiter to join the Army. He's already taken the ASVAB and has tentatively chosen to be Combat Engineer, though he still has to go to Seattle next week for the other tests. And should have no problem there as well. Then in September, will be sent to Fort Leonard Wood, MO for 14 weeks of training
While I support his decision and have always encouraged my kids that if it's something they really want, then not let anyone (including me) keep them from it......but as a Mom, I don't have to like it and I'm really not sure just how I feel about it. I am proud of him for sure, but also worried/scared/nervous for his chosen path. He seems to think its all about 'blowing shit up'. I told him, just don't blow yourself up.
I've not had any real direct experience with military......so can anyone enlighten me here???
JAN, first thank you and your son for his pending Service to our Country... I am a little biased as I am forever grateful to the U.S. Army for teaching me how to grow up... And hell I was 21 years old when I enlisted... I would not trade the experience for love nor money... Don't get me wrong not everything was hunky dory, but neither is life...
Please believe me that he will not be "blowing shit up" on a regular basis... Until he gets a little hair on his chin he will be a truck driver maybe... Combat Engineers do a hell of a lot other stuff than detect and dispose of mines and bulk explosives. If that is all he wants to do he will be a little disappointed, but that is all right they will keep him busy enough that he won't remember to be disappointed...
I am sincere in my appreciation to both you and him...![]()
Hmm I was going to welcome JAN back to the Coffee Shop too--she hasn't been here in awhile--but she seems to have deleted her post? Well good to see her anyway. We have a nephew who was a combat engineer and he said he learned a lot about digging holes and building stuff but actually spent most of his time on base. He did learn how and where to set explosives but rarely got to blow anything up.![]()
Well I sincerely hope I have not offended JAN... I have a tendency to do that ever so often without trying…![]()
No, you didn't offend me at all. I appreciate your comments & support. Foxfyre was right that I had deleted my pos
t before anyone seen it...or so I thought. I didn't want it to sound as whiney as I thought it was or how I felt at the time.
And I do realize there is a lot more to the job than explosives & mine fields......it's just that knee jerk reaction of a Mom that hears her baby is going to be "Combat" anything and atleast part of the duties has to do with explosives...….especially when this one was never that interested. It was always #2 that was the fighter, loves guns & about half crazy (in a good way) that I had expected to join. #3 will be ok, he's got a cool head on his shoulders. I think he's going in for 3 years to start, but may stay longer.
pssst…..about that 'blowing shit up'...….I'm not telling him otherwise.
I was going to ask the same question Foxy did, is that difficult? I'd not thought of doing the old stocking roll thing. What's going to be tough for me is; one of three things you should not do at all after hip surgery is bend past 90 degrees at the waist. This is so you don't dislocate the hip and is only a temporary precaution. After the compression socks come off, though, I have purchased a large package of those ankle socks and will be wearing my Crocs...Crocs & socks, and Alaskan summertime staple.Mr. P has to put on a compression thigh sock every day and has been doing it for 25 years.
I doubt anyone here finds you whiny. It's tough to let those chicks leave the nest but they must if your job is to be complete. After all, didn't you raise them to become their own person and accomplish great things?My youngest just graduated from high school last week and had been working with a recruiter to join the Army. He's already taken the ASVAB and has tentatively chosen to be Combat Engineer, though he still has to go to Seattle next week for the other tests. And should have no problem there as well. Then in September, will be sent to Fort Leonard Wood, MO for 14 weeks of training
While I support his decision and have always encouraged my kids that if it's something they really want, then not let anyone (including me) keep them from it......but as a Mom, I don't have to like it and I'm really not sure just how I feel about it. I am proud of him for sure, but also worried/scared/nervous for his chosen path. He seems to think its all about 'blowing shit up'. I told him, just don't blow yourself up.
I've not had any real direct experience with military......so can anyone enlighten me here???
JAN, first thank you and your son for his pending Service to our Country... I am a little biased as I am forever grateful to the U.S. Army for teaching me how to grow up... And hell I was 21 years old when I enlisted... I would not trade the experience for love nor money... Don't get me wrong not everything was hunky dory, but neither is life...
Please believe me that he will not be "blowing shit up" on a regular basis... Until he gets a little hair on his chin he will be a truck driver maybe... Combat Engineers do a hell of a lot other stuff than detect and dispose of mines and bulk explosives. If that is all he wants to do he will be a little disappointed, but that is all right they will keep him busy enough that he won't remember to be disappointed...
I am sincere in my appreciation to both you and him...![]()
Hmm I was going to welcome JAN back to the Coffee Shop too--she hasn't been here in awhile--but she seems to have deleted her post? Well good to see her anyway. We have a nephew who was a combat engineer and he said he learned a lot about digging holes and building stuff but actually spent most of his time on base. He did learn how and where to set explosives but rarely got to blow anything up.![]()
Well I sincerely hope I have not offended JAN... I have a tendency to do that ever so often without trying…![]()
No, you didn't offend me at all. I appreciate your comments & support. Foxfyre was right that I had deleted my pos
t before anyone seen it...or so I thought. I didn't want it to sound as whiney as I thought it was or how I felt at the time.
And I do realize there is a lot more to the job than explosives & mine fields......it's just that knee jerk reaction of a Mom that hears her baby is going to be "Combat" anything and atleast part of the duties has to do with explosives...….especially when this one was never that interested. It was always #2 that was the fighter, loves guns & about half crazy (in a good way) that I had expected to join. #3 will be ok, he's got a cool head on his shoulders. I think he's going in for 3 years to start, but may stay longer.
pssst…..about that 'blowing shit up'...….I'm not telling him otherwise.
Chin up, mom, you have reason to be proud.
I doubt anyone here finds you whiny. It's tough to let those chicks leave the nest but they must if your job is to be complete. After all, didn't you raise them to become their own person and accomplish great things?JAN, first thank you and your son for his pending Service to our Country... I am a little biased as I am forever grateful to the U.S. Army for teaching me how to grow up... And hell I was 21 years old when I enlisted... I would not trade the experience for love nor money... Don't get me wrong not everything was hunky dory, but neither is life...
Please believe me that he will not be "blowing shit up" on a regular basis... Until he gets a little hair on his chin he will be a truck driver maybe... Combat Engineers do a hell of a lot other stuff than detect and dispose of mines and bulk explosives. If that is all he wants to do he will be a little disappointed, but that is all right they will keep him busy enough that he won't remember to be disappointed...
I am sincere in my appreciation to both you and him...![]()
Hmm I was going to welcome JAN back to the Coffee Shop too--she hasn't been here in awhile--but she seems to have deleted her post? Well good to see her anyway. We have a nephew who was a combat engineer and he said he learned a lot about digging holes and building stuff but actually spent most of his time on base. He did learn how and where to set explosives but rarely got to blow anything up.![]()
Well I sincerely hope I have not offended JAN... I have a tendency to do that ever so often without trying…![]()
No, you didn't offend me at all. I appreciate your comments & support. Foxfyre was right that I had deleted my pos
t before anyone seen it...or so I thought. I didn't want it to sound as whiney as I thought it was or how I felt at the time.
And I do realize there is a lot more to the job than explosives & mine fields......it's just that knee jerk reaction of a Mom that hears her baby is going to be "Combat" anything and atleast part of the duties has to do with explosives...….especially when this one was never that interested. It was always #2 that was the fighter, loves guns & about half crazy (in a good way) that I had expected to join. #3 will be ok, he's got a cool head on his shoulders. I think he's going in for 3 years to start, but may stay longer.
pssst…..about that 'blowing shit up'...….I'm not telling him otherwise.
Chin up, mom, you have reason to be proud.
Yeah well, I'm not usually whiny but I do have my moments and of all the choices he had, he just had to go for that...….yeah I was feelin it
![]()
and in the meantime I've had some time to think about it and calm down. If he's to come home, he needs strong positive support going in. He may have been hiding behind #2 all these years, but I am confident he will find himself.
Looking back over the years, it's been #3 that comes thru a disaster with a cool head and saves the day...…...like when #2 was stung by a bee and was screaming because he knew he'd have to get a shot (anaphylactic), it was #3 that got the Epi-pen without being told. Or the time #2 was interested in blacksmithing & using a torch and I don't know what happened but there was a huge flash...…..#2 ran into the garage for safety and #3 ran outside to put the fire out. Yes the kid can handle himself quite well.
Another worry is that he's 6'4 and right at the Army's minimum weight, very tall & lean and he'll be 18 at the end of the month so he still has some growing to do. Makes him easier to spot & a target...…...I'll just tell him to stand still & they'll think he's a tree or something.
I doubt anyone here finds you whiny. It's tough to let those chicks leave the nest but they must if your job is to be complete. After all, didn't you raise them to become their own person and accomplish great things?Hmm I was going to welcome JAN back to the Coffee Shop too--she hasn't been here in awhile--but she seems to have deleted her post? Well good to see her anyway. We have a nephew who was a combat engineer and he said he learned a lot about digging holes and building stuff but actually spent most of his time on base. He did learn how and where to set explosives but rarely got to blow anything up.![]()
Well I sincerely hope I have not offended JAN... I have a tendency to do that ever so often without trying…![]()
No, you didn't offend me at all. I appreciate your comments & support. Foxfyre was right that I had deleted my pos
t before anyone seen it...or so I thought. I didn't want it to sound as whiney as I thought it was or how I felt at the time.
And I do realize there is a lot more to the job than explosives & mine fields......it's just that knee jerk reaction of a Mom that hears her baby is going to be "Combat" anything and atleast part of the duties has to do with explosives...….especially when this one was never that interested. It was always #2 that was the fighter, loves guns & about half crazy (in a good way) that I had expected to join. #3 will be ok, he's got a cool head on his shoulders. I think he's going in for 3 years to start, but may stay longer.
pssst…..about that 'blowing shit up'...….I'm not telling him otherwise.
Chin up, mom, you have reason to be proud.
Yeah well, I'm not usually whiny but I do have my moments and of all the choices he had, he just had to go for that...….yeah I was feelin it
![]()
and in the meantime I've had some time to think about it and calm down. If he's to come home, he needs strong positive support going in. He may have been hiding behind #2 all these years, but I am confident he will find himself.
Looking back over the years, it's been #3 that comes thru a disaster with a cool head and saves the day...…...like when #2 was stung by a bee and was screaming because he knew he'd have to get a shot (anaphylactic), it was #3 that got the Epi-pen without being told. Or the time #2 was interested in blacksmithing & using a torch and I don't know what happened but there was a huge flash...…..#2 ran into the garage for safety and #3 ran outside to put the fire out. Yes the kid can handle himself quite well.
Another worry is that he's 6'4 and right at the Army's minimum weight, very tall & lean and he'll be 18 at the end of the month so he still has some growing to do. Makes him easier to spot & a target...…...I'll just tell him to stand still & they'll think he's a tree or something.
You can't fake good kids, Jan. Sounds like you did okay. And yes, he'll be okay.
It was tough for me getting them on with a knee that only bent a few degrees at first. I suffered a bit, but I did it to avoid this:I'll have to wear compression socks for a while after surgery, too. How the hell am I supposed to get them on when I cannot bend over? I have one of those sock helper thingies but I can't the socks stretched over it. I hadn't even thought of the horror of removing the socksHad similar experience with compression socks when I was recovering from my knee surgery.How have you been lately, Peach? Mr. Peach still tooling around on his "bike"?They all get that way towards the end gallantwarrior, I'm sorry to say.
Give the love she's looking for and needs right now.
I've been pretty busy doings things around and in the house.
Trying to get everything organized also (things no longer needed thrown out) and slowly painting each room.
It's very frustrating for me to try and reconcile with the fact of what used to take a few hours in youth now takes days. !
Mr. P joined the Fraternal Order of Eagles motorcycle club a few months back and they get together and go out on rides for several hours every once in a while.
Then he rides almost every day just traveling around Cochise County.
Mr. P is doing pretty well, it's remarkable how he gets around having only one quarter of his heart working and having MS."what used to take a few hours in youth now takes days. !"I've been thinking that a lot lately. One day it took half an hour to put on a pair of those compression socks to help keep the swelling off my ankles. They were so tight I almost had to cut them off with kitchen shears, but that took 20 minutes. At the end of 20 minutes, I was just mad. I thought it's awful to spend almost an hour to put on socks when in high school, we used to get 10 minutes to leave the gymn, shower, dry off, dress, and get to the next class after stopping by a locker to change books. lol
What a difference a lifetime makes.![]()
Y'all do know about that, don't you?![]()
He'll also be easier for others to spot and follow. I'll bet he's going to be one helluva leader. Big kid, eh? He'll fill out, too. Most boys don't get their full adult physical size/weight until about 25-26 yrs.I doubt anyone here finds you whiny. It's tough to let those chicks leave the nest but they must if your job is to be complete. After all, didn't you raise them to become their own person and accomplish great things?JAN, first thank you and your son for his pending Service to our Country... I am a little biased as I am forever grateful to the U.S. Army for teaching me how to grow up... And hell I was 21 years old when I enlisted... I would not trade the experience for love nor money... Don't get me wrong not everything was hunky dory, but neither is life...
Please believe me that he will not be "blowing shit up" on a regular basis... Until he gets a little hair on his chin he will be a truck driver maybe... Combat Engineers do a hell of a lot other stuff than detect and dispose of mines and bulk explosives. If that is all he wants to do he will be a little disappointed, but that is all right they will keep him busy enough that he won't remember to be disappointed...
I am sincere in my appreciation to both you and him...![]()
Hmm I was going to welcome JAN back to the Coffee Shop too--she hasn't been here in awhile--but she seems to have deleted her post? Well good to see her anyway. We have a nephew who was a combat engineer and he said he learned a lot about digging holes and building stuff but actually spent most of his time on base. He did learn how and where to set explosives but rarely got to blow anything up.![]()
Well I sincerely hope I have not offended JAN... I have a tendency to do that ever so often without trying…![]()
No, you didn't offend me at all. I appreciate your comments & support. Foxfyre was right that I had deleted my pos
t before anyone seen it...or so I thought. I didn't want it to sound as whiney as I thought it was or how I felt at the time.
And I do realize there is a lot more to the job than explosives & mine fields......it's just that knee jerk reaction of a Mom that hears her baby is going to be "Combat" anything and atleast part of the duties has to do with explosives...….especially when this one was never that interested. It was always #2 that was the fighter, loves guns & about half crazy (in a good way) that I had expected to join. #3 will be ok, he's got a cool head on his shoulders. I think he's going in for 3 years to start, but may stay longer.
pssst…..about that 'blowing shit up'...….I'm not telling him otherwise.
Chin up, mom, you have reason to be proud.
Yeah well, I'm not usually whiny but I do have my moments and of all the choices he had, he just had to go for that...….yeah I was feelin it
![]()
and in the meantime I've had some time to think about it and calm down. If he's to come home, he needs strong positive support going in. He may have been hiding behind #2 all these years, but I am confident he will find himself.
Looking back over the years, it's been #3 that comes thru a disaster with a cool head and saves the day...…...like when #2 was stung by a bee and was screaming because he knew he'd have to get a shot (anaphylactic), it was #3 that got the Epi-pen without being told. Or the time #2 was interested in blacksmithing & using a torch and I don't know what happened but there was a huge flash...…..#2 ran into the garage for safety and #3 ran outside to put the fire out. Yes the kid can handle himself quite well.
Another worry is that he's 6'4 and right at the Army's minimum weight, very tall & lean and he'll be 18 at the end of the month so he still has some growing to do. Makes him easier to spot & a target...…...I'll just tell him to stand still & they'll think he's a tree or something.
I'll bite, what is that? Looks pretty bad. I spoke with my brother this morning. I explained I'm trying to minimize his participation in my personal body care, i.e. compression socks. He told me socks would be okay but I'm on the hook for the rest. I imagine that knee surgery has some limitation similar to hip surgery. Do you have concerns that a knee will dislocate?It was tough for me getting them on with a knee that only bent a few degrees at first. I suffered a bit, but I did it to avoid this:View attachment 265327I'll have to wear compression socks for a while after surgery, too. How the hell am I supposed to get them on when I cannot bend over? I have one of those sock helper thingies but I can't the socks stretched over it. I hadn't even thought of the horror of removing the socksHad similar experience with compression socks when I was recovering from my knee surgery.How have you been lately, Peach? Mr. Peach still tooling around on his "bike"?
I've been pretty busy doings things around and in the house.
Trying to get everything organized also (things no longer needed thrown out) and slowly painting each room.
It's very frustrating for me to try and reconcile with the fact of what used to take a few hours in youth now takes days. !
Mr. P joined the Fraternal Order of Eagles motorcycle club a few months back and they get together and go out on rides for several hours every once in a while.
Then he rides almost every day just traveling around Cochise County.
Mr. P is doing pretty well, it's remarkable how he gets around having only one quarter of his heart working and having MS."what used to take a few hours in youth now takes days. !"I've been thinking that a lot lately. One day it took half an hour to put on a pair of those compression socks to help keep the swelling off my ankles. They were so tight I almost had to cut them off with kitchen shears, but that took 20 minutes. At the end of 20 minutes, I was just mad. I thought it's awful to spend almost an hour to put on socks when in high school, we used to get 10 minutes to leave the gymn, shower, dry off, dress, and get to the next class after stopping by a locker to change books. lol
What a difference a lifetime makes.![]()
Y'all do know about that, don't you?![]()

No worries about dislocation but the swelling was incredible. If I wore normal socks, my leg looked like that within 10 minutes of getting out of bed. The calf muscles had atrophied so much in the 10 weeks I was casted that they were unable to pump fluid back up to my heart. Therapy eventually built the leg back up but I guess I wore compression socks for 3 months. It was nearly 6 months before I dared wear my cowboy boots out of fear I would have to cut $750 boots off my foot.I'll bite, what is that? Looks pretty bad. I spoke with my brother this morning. I explained I'm trying to minimize his participation in my personal body care, i.e. compression socks. He told me socks would be okay but I'm on the hook for the rest. I imagine that knee surgery has some limitation similar to hip surgery. Do you have concerns that a knee will dislocate?It was tough for me getting them on with a knee that only bent a few degrees at first. I suffered a bit, but I did it to avoid this:View attachment 265327I'll have to wear compression socks for a while after surgery, too. How the hell am I supposed to get them on when I cannot bend over? I have one of those sock helper thingies but I can't the socks stretched over it. I hadn't even thought of the horror of removing the socksHad similar experience with compression socks when I was recovering from my knee surgery.I've been pretty busy doings things around and in the house.
Trying to get everything organized also (things no longer needed thrown out) and slowly painting each room.
It's very frustrating for me to try and reconcile with the fact of what used to take a few hours in youth now takes days. !
Mr. P joined the Fraternal Order of Eagles motorcycle club a few months back and they get together and go out on rides for several hours every once in a while.
Then he rides almost every day just traveling around Cochise County.
Mr. P is doing pretty well, it's remarkable how he gets around having only one quarter of his heart working and having MS."what used to take a few hours in youth now takes days. !"I've been thinking that a lot lately. One day it took half an hour to put on a pair of those compression socks to help keep the swelling off my ankles. They were so tight I almost had to cut them off with kitchen shears, but that took 20 minutes. At the end of 20 minutes, I was just mad. I thought it's awful to spend almost an hour to put on socks when in high school, we used to get 10 minutes to leave the gymn, shower, dry off, dress, and get to the next class after stopping by a locker to change books. lol
What a difference a lifetime makes.![]()
Y'all do know about that, don't you?![]()