Remodeling Maidiac
Diamond Member
- Banned
- #1
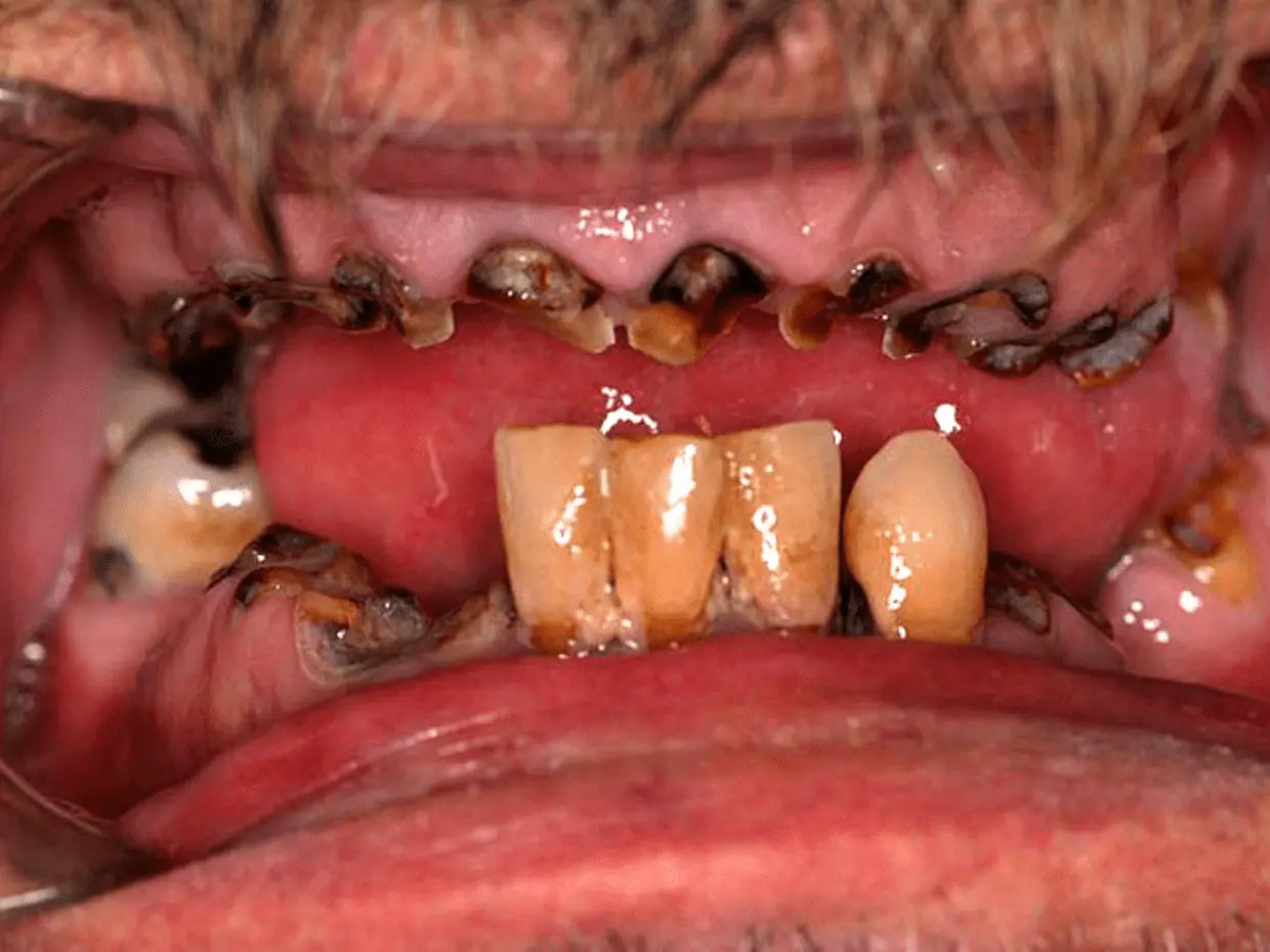
Getting the rest of my teeth pulled and the new teeth process started.
They gave me Valium to take tonight and in the morning before the dental work starts.
Never taken this drug before so I have no idea what to expect.
If I post some unusually insane shit tomorrow just smile and move on as I demanded good narcotics for this shit. Haven't taken drugs in years so this should be an interesting ride.
Dreading the pressure and pain I'm anticipating. I still have 2 dozen teeth for them to pull tomorrow so I'm sure this is gonna suck.
They initially wanted to just do the teeth that were "needed" but having never had nice teeth I told them to rip it all out and let's start new!
Hope I don't live to regret this!
They gave me Valium to take tonight and in the morning before the dental work starts.
Never taken this drug before so I have no idea what to expect.
If I post some unusually insane shit tomorrow just smile and move on as I demanded good narcotics for this shit. Haven't taken drugs in years so this should be an interesting ride.
Dreading the pressure and pain I'm anticipating. I still have 2 dozen teeth for them to pull tomorrow so I'm sure this is gonna suck.
They initially wanted to just do the teeth that were "needed" but having never had nice teeth I told them to rip it all out and let's start new!
Hope I don't live to regret this!
