The Genome of the Virus from China is Not the Original Strain of the Virus That Started the Pandemic

Alexandre Fedorovski

Gold Member
Joined
Dec 9, 2017
Messages
2,536
Reaction score
1,185
Points
210
Researchers at the University of Cambridge analyzed 150 complete genomes of the deadly coronavirus SARS-CoV-2 and found three different variants of the infectious agent - A, B and C. It turned out that the gene that was isolated on December 24, 2019 in a Chinese laboratory...

is not the original strain of the virus. with which the pandemic began!

1586812046439.png


Expert findings are published in the journal Proceedings of the National Academy of Sciences. (Phylogenetic network analysis of SARS-CoV-2 genomes).


Interesting! But what about the illiterate Congressional nouveau riche, who demand that China "forgive" the US all debts and "pay" indemnity for the deaths of Americans and the economic crisis attributed to this virus ???

So who is the Godfather of this virus? "Good people" from the "Good Club" ???

1586811266864.png


That is how our cell gets infected:

1586812226672.png


And THAT is HOW it looks a bit later:

1586812300529.png


1586812465692.webp


 
Last edited:
Researchers at the University of Cambridge analyzed 150 complete genomes of the deadly coronavirus SARS-CoV-2 and found three different variants of the infectious agent - A, B and C. It turned out that the gene that was isolated on December 24, 2019 in a Chinese laboratory...

is not the original strain of the virus. with which the pandemic began!

Expert findings are published in the journal Proceedings of the National Academy of Sciences. (Phylogenetic network analysis of SARS-CoV-2 genomes).


Interesting! But what about the illiterate Congressional nouveau riche, who demand that China "forgive" the US all debts and "pay" indemnity for the deaths of Americans and the economic crisis attributed to this virus ???

So who is the Godfather of this virus? "Good people" from the "Good Club" ???

View attachment 323042

Yeah so? It evolved and mutated. That's kinda what viruses do when they jump from one type of host to another. Nowhere in this paper does it imply that the virus is man made or engineered.
OK. Fine. I'll ask. What are you trying to say here?
 
Yeah so? It evolved and mutated. That's kinda what viruses do when they jump from one type of host to another. Nowhere in this paper does it imply that the virus is man made or engineered.
OK. Fine. I'll ask. What are you trying to say here?

I was numb in horror ...

By the way, it was NOT I who conducted thу research. But we must pay tribute to your analytical mind.

It’s better to ask the misanthropist Bill Gates and his friends from the Kind Club about all this.

It’s HE, not I’m obsessed with “reducing carbon dioxide emissions" by vaccinating and cleansing "the demographic ballast" of the planet...
 
Last edited:
Yeah so? It evolved and mutated. That's kinda what viruses do when they jump from one type of host to another. Nowhere in this paper does it imply that the virus is man made or engineered.
OK. Fine. I'll ask. What are you trying to say here?

I was numb in horror ...

By the way, it was NOT I who conducted thу research. But we must pay tribute to your analytical mind.

It’s better to ask the misanthropist Bill Gates and his friends from the Kind Club about all this.

It’s HE, not I’m obsessed with “reducing carbon dioxide emissions" by vaccinating and cleansing "the demographic ballast" of the planet...
So you believe Bill Gates and his elite friends are responsible for the virus and China is innocent? That is what you are going with?
 
There are many unknowns here. Strains mutate, and even small mutations can be important. I was reading that Chinese epidemiologists were surprised to hear that one symptom of infection in Europe and the U.S. is often loss of sense of smell and taste. They did not find that in their own experience. This doesn't necessarily have a sinister meaning. It is just another unknown. This enemy is shadowy and evolving and alive. It can't be beaten by conspiracy thinking, or blaming, or renaming it.
 
?

I was numb in horror ...

By the way, it was NOT I who conducted thу research. But we must pay tribute to your analytical mind.

It’s better to ask the misanthropist Bill Gates and his friends from the Kind Club about all this.

It’s HE, not I’m obsessed with “reducing carbon dioxide emissions" by vaccinating and cleansing "the demographic ballast" of the planet...


So you believe Bill Gates and his elite friends are responsible for the virus and China is innocent? That is what you are going with?

Listen, I don’t even believe in ancient Jewish tales! Sometimes I don’t believe my eyes and my ears, and once a week I check myself on a polygraph - if I don't start to lie to myself, watching so many lies in the political elite and in the corrupt American media!

Let’s put it this way:


for ME and my like-minded colleagues in the field of political science, Bill Gates and his friends from the Good Club BY NOW are "persons of interest" ...

Tell me, did you READ that I wrote about the "pearls" of Gates and his friends, just a few days ago ??? It seems that you did not ...

A norman woman carried Hitler in her body, a normal woman gave him birth and fed him ... And what a monster this "Viennese watercolorist" turned out to be!

1586817316847.webp
 
Last edited:
="Tom Paine 1949, post: 24448550, member: 73072"
There are many unknowns here. Strains mutate, and even small mutations can be important. I was reading that Chinese epidemiologists were surprised to hear that one symptom of infection in Europe and the U.S. is often loss of sense of smell and taste. They did not find that in their own experience. This doesn't necessarily have a sinister meaning. It is just another unknown. This enemy is shadowy and evolving and alive. It can't be beaten by conspiracy thinking, or blaming, or renaming it.

Yes ... IF it wasn’t HOW the theory of conspiracies has been denigrated and ... if there were NO QUESTIONS to WHAT Billy & Co. said about the need to reduce carbon emissions by ... reducing the world's population down to 300 million - in the "worst-case" - down to two billion people

1586817855068.webp
 
Last edited:
Researchers at the University of Cambridge analyzed 150 complete genomes of the deadly coronavirus SARS-CoV-2 and found three different variants of the infectious agent - A, B and C. It turned out that the gene that was isolated on December 24, 2019 in a Chinese laboratory...

is not the original strain of the virus. with which the pandemic began!

View attachment 323051


Expert findings are published in the journal Proceedings of the National Academy of Sciences. (Phylogenetic network analysis of SARS-CoV-2 genomes).


Interesting! But what about the illiterate Congressional nouveau riche, who demand that China "forgive" the US all debts and "pay" indemnity for the deaths of Americans and the economic crisis attributed to this virus ???

So who is the Godfather of this virus? "Good people" from the "Good Club" ???

View attachment 323042

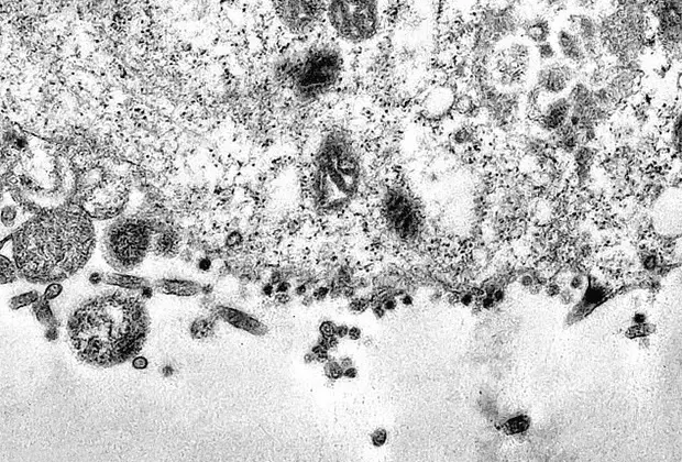
That is how our cell gets infected:

View attachment 323052

And THAT is HOW it looks a bit later:

View attachment 323053

View attachment 323054

Ok

so libs are telling us that the chinese disease did not start in wuhan but even so thats where first crisis began

why didnt it show up somewhere else where they think it really started?
 
]
Researchers at the University of Cambridge analyzed 150 complete genomes of the deadly coronavirus SARS-CoV-2 and found three different variants of the infectious agent - A, B and C. It turned out that the gene that was isolated on December 24, 2019 in a Chinese laboratory...

is not the original strain of the virus. with which the pandemic began!



URL unfurl="true"]https://agencia.fiocruz.br/fiocruz-registra-momento-da-infeccao-do-sars-cov-2-em-celula


Ok

so libs are telling us that the chinese disease did not start in wuhan but even so thats where first crisis began

why didnt it show up somewhere else where they think it really started?
 
Researchers at the University of Cambridge analyzed 150 complete genomes of the deadly coronavirus SARS-CoV-2 and found three different variants of the infectious agent - A, B and C. It turned out that the gene that was isolated on December 24, 2019 in a Chinese laboratory...

is not the original strain of the virus. with which the pandemic began!



URL unfurl="true"]https://agencia.fiocruz.br/fiocruz-registra-momento-da-infeccao-do-sars-cov-2-em-celula


Ok

so libs are telling us that the chinese disease did not start in wuhan but even so thats where first crisis began

why didnt it show up somewhere else where they think it really started?

Do you think that Chinese Jews are dumber than American or European ones ??? This is a big mistake. Underestimating the enemy, as well as over-evaluating his capabilities is fraught with grave consequences.

Tell me, do you know the concept of "cover operation" ??? Let’s say, how the Nazis imitated "the attack" on their radio facility by the Poles, bringing corpses, not of the first "freshness" dressed in Polish (!!!) uniforms to create a reason for an attack on Poland?

Or the so-called "shelling" of American ships in the Gulf of Tonkin. Or ... in-vitro tooth powder shaken by the war criminal Powell in the UN ...

Do you REALLY believe that the Chinese began to poison themselves ?! Moreover, in the "wet market" in Wuhan, to "attribute everything" to the natural "crossing" and mutation of viruses ??
?

Rather, it looks like a cover operation. Moreover, the American government did not respond to the accusations of the Chinese Foreign Ministry against the US military who brought the war virus into their country.

First, let's interrogate our "persons of interest", and only THEN move on to Chinese Jews who, by the way, didn’t offer to lower the level of carbon dioxide emissions to zero by cleaning the planet from " demographic ballast "
 
Researchers at the University of Cambridge analyzed 150 complete genomes of the deadly coronavirus SARS-CoV-2 and found three different variants of the infectious agent - A, B and C. It turned out that the gene that was isolated on December 24, 2019 in a Chinese laboratory...

is not the original strain of the virus. with which the pandemic began!



URL unfurl="true"]https://agencia.fiocruz.br/fiocruz-registra-momento-da-infeccao-do-sars-cov-2-em-celula


Ok

so libs are telling us that the chinese disease did not start in wuhan but even so thats where first crisis began

why didnt it show up somewhere else where they think it really started?

Do you think that Chinese Jews are dumber than American or European ones ??? This is a big mistake. Underestimating the enemy, as well as over-evaluating his capabilities is fraught with grave consequences.

Tell me, do you know the concept of "cover operation" ??? Let’s say, how the Nazis imitated "the attack" on their radio facility by the Poles, bringing corpses, not of the first "freshness" dressed in Polish (!!!) uniforms to create a reason for an attack on Poland?

Or the so-called "shelling" of American ships in the Gulf of Tonkin. Or ... in-vitro tooth powder shaken by the war criminal Powell in the UN ...

Do you REALLY believe that the Chinese began to poison themselves ?! Moreover, in the "wet market" in Wuhan, to "attribute everything" to the natural "crossing" and mutation of viruses ??
?

Rather, it looks like a cover operation. Moreover, the American government did not respond to the accusations of the Chinese Foreign Ministry against the US military who brought the war virus into their country.

First, let's interrogate our "persons of interest", and only THEN move on to Chinese Jews who, by the way, didn’t offer to lower the level of carbon dioxide emissions to zero by cleaning the planet from " demographic ballast "
What are you babbling about?

Chinese Jews?

thats insane
 
Ok

so libs are telling us that the chinese disease did not start in wuhan but even so thats where first crisis began

why didnt it show up somewhere else where they think it really started?

Do you think that Chinese Jews are dumber than American or European ones ??? This is a big mistake. Underestimating the enemy, as well as over-evaluating his capabilities is fraught with grave consequences.

Tell me, do you know the concept of "cover operation" ??? Let’s say, how the Nazis imitated "the attack" on their radio facility by the Poles, bringing corpses, not of the first "freshness" dressed in Polish (!!!) uniforms to create a reason for an attack on Poland?

Or the so-called "shelling" of American ships in the Gulf of Tonkin. Or ... in-vitro tooth powder shaken by the war criminal Powell in the UN ...

Do you REALLY believe that the Chinese began to poison themselves ?! Moreover, in the "wet market" in Wuhan, to "attribute everything" to the natural "crossing" and mutation of viruses ??
?

Rather, it looks like a cover operation. Moreover, the American government did not respond to the accusations of the Chinese Foreign Ministry against the US military who brought the war virus into their country.

First, let's interrogate our "persons of interest", and only THEN move on to Chinese Jews who, by the way, didn’t offer to lower the level of carbon dioxide emissions to zero by cleaning the planet from " demographic ballast "


What are you babbling about?

Chinese Jews?

thats insane

No, its called "ignorance". IF your thesaurus is so narrow that you don’t know that the leadership of the Chinese Communist Party consists of representatives of the “Beijing” and “Shanghai” Jewish clans, I just don’t have anything to talk about with you

1586835128652.webp
 
Last edited:
WOW....

Please explain away why the Chinese government destroyed all known samples of the original virus... confirmed with multiple sources.

Then explain why the L and S RNA proteins have breaks in the current set of mutations..

This thing was spliced. Where does 'splicing' occur?

Way to much evidence to say it is naturally occurring.
 
15th post
QUOTE="Billy_Bob, post: 24450875, member: 50952
WOW...

Please explain away why the Chinese government destroyed all known samples of the original virus... confirmed with multiple sources.

Then explain why the L and S RNA proteins have breaks in the current set of mutations..

This thing was spliced. Where does 'splicing' occur?

Way to much evidence to say it is naturally occurring.

Please explain away why the Chinese government destroyed all known samples of the original virus... confirmed with multiple sources.

Oh, my Lord! Where did you get that from???

This thing was spliced. Where does 'splicing' occur?


Zinc-finger nucleases (ZFN),
Transcription activator-like effector nucleases (TALENs)

Clustered regularly interspaced short palindromic repeats (CRISPR) (the main, less expensive and simple one today)


Restriction enzymes cut +and/or "gluing = DNA ligation through CRISPR-Cas9
 
Last edited:
Are you trying to help or harm?

I just take what I do very seriously. And given that I’ve been dealing with the psychological, ideological, and now the political problems of human genetic re-programming for a year and a half already. If you want to or not, you need to be professional.

MAYBE, I'm too serious about everything - but this is my Modus Operandi.
Neither I nor you individually will define the Truth. But if we return to America before 1979, we COULD force THEM to investigate such a moral monster as Gates...
 
Last edited:
QUOTE="Billy_Bob, post: 24450875, member: 50952"
WOW...

Please explain away why the Chinese government destroyed all known samples of the original virus... confirmed with multiple sources.

Then explain why the L and S RNA proteins have breaks in the current set of mutations..

This thing was spliced. Where does 'splicing' occur?

Way to much evidence to say it is naturally occurring.

Please explain away why the Chinese government destroyed all known samples of the original virus... confirmed with multiple sources.

Oh, my Lord! Where did you get that from???

This thing was spliced. Where does 'splicing' occur?


Zinc-finger nucleases (ZFN),
Transcription activator-like effector nucleases (TALENs)

Clustered regularly interspaced short palindromic repeats (CRISPR) (the main, less expensive and simple one today)


Restriction enzymes cut +and/or "gluing = DNA ligation through CRISPR-Cas9
China’s top medical authority issued a gag order after Wuhan labs sequencing coronavirus found it resembled the SARS virus that killed nearly 800 people in 2002-2003 back in late December, according to Chinese media.


Caixin Global, a respected independent publication, reported that genomics laboratories sequenced the coronavirus by December 27, but were ordered by local and national officials to hand over or destroy the samples and not release their findings.

The orders are well documented.
 
Last edited:

New Topics

Back
Top Bottom