Terri Schiavo's Husband: Jeb Bush 'Put Me Through Hell'

God bless Tom Brady and the New England Patriots - and may they beat the shit out of the Seattle Seahawks tomorrow. I'll be eating pizza and "veggies"...

Did you just edit this post?

No, but I sure as hell can if I want to.

You just lied again, and a stupid one at that. The first time you posted this, you left out the part about eating pizza and veggies. Then you edited your post and added it in and now you're lying about it.

What's funny is I wasn't entirely sure Bear was correct that you lie about editing your posts, but I just now saw it for myself and now know for certain he's telling the truth.

You.

Are.

A.

*******.

Liar!

And I'll never forget it.
 
God bless Tom Brady and the New England Patriots - and may they beat the shit out of the Seattle Seahawks tomorrow. I'll be eating pizza and "veggies"...

Did you just edit this post?

No, but I sure as hell can if I want to.

You just lied again, and a stupid one at that. The first time you posted this, you left out the part about eating pizza and veggies. Then you edited your post and added it in and now you're lying about it.

What's funny is I wasn't entirely sure Bear was correct that you lie about editing your posts, but I just now saw it for myself and now know for certain he's telling the truth.

You.

Are.

A.

*******.

Liar!

And I'll never forget it.

Can you prove it?
 
Her parents and siblings all testified to the abuse. And as is all too typical of domestic abuse that's not punished, eventually it turned to murder.

The autopsy showed NO signs of abuse.

Autopsy: Schiavo Was Not Abused - Fox News

That doesn't mean she wasn't abused. Why would her family say that? Are you saying they were lying?
anecdotal evidence much? :eusa_eh: If fox said it, you can bet your ass its true missy ChrisL because EVERYBODY knows they're the communications arm of the GOP. The Repub party banked on scoring cheap political points off of dragging the husband through living hell & they were wrong.
You know she is dead right? So remind me again.what living hell he is going through ******* his girlfriend and what living hell.her parents go through every day?

Remind me again what pain is worse, you stupid mother ******
reduced to ad homs shit stain? Her brain was liquified. She wasn't "living" she was "existing". You ever take high school biology?

Her brain wasn't liquified, it was atrophied. I'd explain that further, but it appears you slept through high school biology.
 
Her parents and siblings all testified to the abuse. And as is all too typical of domestic abuse that's not punished, eventually it turned to murder.

The autopsy showed NO signs of abuse.

Autopsy: Schiavo Was Not Abused - Fox News

That doesn't mean she wasn't abused. Why would her family say that? Are you saying they were lying?
anecdotal evidence much? :eusa_eh: If fox said it, you can bet your ass its true missy ChrisL because EVERYBODY knows they're the communications arm of the GOP. The Repub party banked on scoring cheap political points off of dragging the husband through living hell & they were wrong.
You know she is dead right? So remind me again.what living hell he is going through ******* his girlfriend and what living hell.her parents go through every day?

Remind me again what pain is worse, you stupid mother ******
reduced to ad homs shit stain? Her brain was liquified. She wasn't "living" she was "existing". You ever take high school biology?
Quit trying to justify death asshat, your trying to kill another human on your terms not there"s
 
God bless Tom Brady and the New England Patriots - and may they beat the shit out of the Seattle Seahawks tomorrow. I'll be eating pizza and "veggies"...

Did you just edit this post?

No, but I sure as hell can if I want to.

You just lied again, and a stupid one at that. The first time you posted this, you left out the part about eating pizza and veggies. Then you edited your post and added it in and now you're lying about it.

What's funny is I wasn't entirely sure Bear was correct that you lie about editing your posts, but I just now saw it for myself and now know for certain he's telling the truth.

You.

Are.

A.

*******.

Liar!

And I'll never forget it.

Can you prove it?

You're denying that you added the part about eating pizza and veggies after I just saw you do it. I don't need to prove anything to know you're a liar. I've now seen it for myself.

Lying asshole.
 
We are a nation of laws. Why do you hate the Constitution? What's wrong with him ******* his girlfriend - if he was? Would have rather he just jacked off?

It seems like he wanted her out of the way. Why would he disrespect her parents' wishes? A parent's love is unconditional.

**** the parents! He was Terri's husband. Don't you believe in marriage?



Exactly.

When she turned 18 the parents stopped having any say in her life.

When she got married her parents stopping having any rights to custody.

Terri's husband would have had to die first, then her parents would have been the next of kin to take custody of her.

But hey, right wing extremists don't believe they have to follow our laws.

No matter how much factual evidence you present to these people you will never get them to see the truth.

They just prefer to call people murders, abusers and bash anyone who is not a far right wing extremist.

Too bad the husband wasn't more sympathetic to the parents' position. Anyone who is a parent would understand and feel for those parents. I think he is a rotten excuse for a human being.



I am a parent and I understand what they went through.

I've had to watch as my grandmother was only given air as she laid dying. We had no say in anything because she had a living will. So we had to let her suffer until she died. I will have to do the same with my mom in a few years. Her living will says only air. And even if she didn't have one, all of us in my family would still only give her air and not hook her up to any machines or do anything to prevent her from being laid to rest. We would do that because like Michael, we've been told by her that is what she would want.

My husband faced something like this with me in 2009. I was in a coma, I had a living will but it was 3000 miles away in our safe in our home. So he had to make all the decisions for me while I was in that coma. And yes, the doctors asked him for that living will. They didn't think I was going to wake up.

If I had not woken up, he would have pulled all the plugs to all the machines I was hooked up to and it would have been the exact thing I would have wanted him to do.

The problem was that the parents couldn't let go. Terri was dead. The fact that her brain had liquified proves that. The brain doesn't revert to that state in a living person.

The only reason she still had a beating heart was because of modern technology. If the technology wasn't available at the time, Terri Schaivo would have been pronounced dead when she was first taken to the hospital and then property laid to rest after.

No parent wants their child to die before them. Everyone understands that. However there's a time to let go. The parents couldn't let go. They put their son in law and our nation through hell because they couldn't let go.

I'm sorry to hear that, and I'm glad to see that you are okay. The fact is though, it wouldn't have harmed anyone to let the parents take her home and care for her until she died naturally. In her condition, it wouldn't have been that long before she passed on naturally.

If she had a living will, then I would have no problem with this. I still think he was cruel to her parents.
 
You really think she wanted to die knowing her husband was ******* around on her?


If some one told her that, she would of woke up and kicked his ass, that's a fact
 
God bless Tom Brady and the New England Patriots - and may they beat the shit out of the Seattle Seahawks tomorrow. I'll be eating pizza and "veggies"...
What the **** does this have to do with this thread crybaby?

He just edited this post and is now lying about it. I saw it when he first posted it, nothing about eating pizza and veggies. I asked him if he edited his post and he lied and said he didn't. Now I know for myself.
 
God bless Tom Brady and the New England Patriots - and may they beat the shit out of the Seattle Seahawks tomorrow. I'll be eating pizza and "veggies"...

Did you just edit this post?

No, but I sure as hell can if I want to.

You just lied again, and a stupid one at that. The first time you posted this, you left out the part about eating pizza and veggies. Then you edited your post and added it in and now you're lying about it.

What's funny is I wasn't entirely sure Bear was correct that you lie about editing your posts, but I just now saw it for myself and now know for certain he's telling the truth.

You.

Are.

A.

*******.

Liar!

And I'll never forget it.

Can you prove it?

You're denying that you added the part about eating pizza and veggies after I just saw you do it. I don't need to prove anything to know you're a liar. I've now seen it for myself.

Lying asshole.
Told you
 
The autopsy showed NO signs of abuse.

Autopsy: Schiavo Was Not Abused - Fox News

That doesn't mean she wasn't abused. Why would her family say that? Are you saying they were lying?
anecdotal evidence much? :eusa_eh: If fox said it, you can bet your ass its true missy ChrisL because EVERYBODY knows they're the communications arm of the GOP. The Repub party banked on scoring cheap political points off of dragging the husband through living hell & they were wrong.
You know she is dead right? So remind me again.what living hell he is going through ******* his girlfriend and what living hell.her parents go through every day?

Remind me again what pain is worse, you stupid mother ******
reduced to ad homs shit stain? Her brain was liquified. She wasn't "living" she was "existing". You ever take high school biology?

Her brain wasn't liquified, it was atrophied. I'd explain that further, but it appears you slept through high school biology.
Exactly. They conveniently like to ignore the fact that mr abuser withheld therapy and medical treatment for years prior.
 
You have to watch that piece of shit liberal closely, he loves to edit and delete his posts
 
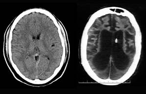
Schiavo_catscan.jpg

Left: CT scan of normal brain; Right: Schiavo's
2002 CT scan provided by Ronald Cranford,
showing loss of brain tissue. The black area is
liquid, indicatinghydrocephalus ex vacuo.[30]
The small white piece in the right image is the
thalamic stimulator implanted in her brain.


Terri Schiavo case - Wikipedia the free encyclopedia

Looks like a lot of liquid...
 
15th post
Schiavo_catscan.jpg

Left: CT scan of normal brain; Right: Schiavo's
2002 CT scan provided by Ronald Cranford,
showing loss of brain tissue. The black area is
liquid, indicatinghydrocephalus ex vacuo.[30]
The small white piece in the right image is the
thalamic stimulator implanted in her brain.


Terri Schiavo case - Wikipedia the free encyclopedia

Looks like a lot of liquid...
Translation ~ I will edit this latter and talk about the super bowl or some other crap when a poster burns me on it :)
 
I think I
Schiavo_catscan.jpg

Left: CT scan of normal brain; Right: Schiavo's
2002 CT scan provided by Ronald Cranford,
showing loss of brain tissue. The black area is
liquid, indicatinghydrocephalus ex vacuo.[30]
The small white piece in the right image is the
thalamic stimulator implanted in her brain.


Terri Schiavo case - Wikipedia the free encyclopedia

Looks like a lot of liquid...
Now look up atrophy . And catch a clue.

I know what atrophy is.
 
It seems like he wanted her out of the way. Why would he disrespect her parents' wishes? A parent's love is unconditional.

**** the parents! He was Terri's husband. Don't you believe in marriage?



Exactly.

When she turned 18 the parents stopped having any say in her life.

When she got married her parents stopping having any rights to custody.

Terri's husband would have had to die first, then her parents would have been the next of kin to take custody of her.

But hey, right wing extremists don't believe they have to follow our laws.

No matter how much factual evidence you present to these people you will never get them to see the truth.

They just prefer to call people murders, abusers and bash anyone who is not a far right wing extremist.

Too bad the husband wasn't more sympathetic to the parents' position. Anyone who is a parent would understand and feel for those parents. I think he is a rotten excuse for a human being.



I am a parent and I understand what they went through.

I've had to watch as my grandmother was only given air as she laid dying. We had no say in anything because she had a living will. So we had to let her suffer until she died. I will have to do the same with my mom in a few years. Her living will says only air. And even if she didn't have one, all of us in my family would still only give her air and not hook her up to any machines or do anything to prevent her from being laid to rest. We would do that because like Michael, we've been told by her that is what she would want.

My husband faced something like this with me in 2009. I was in a coma, I had a living will but it was 3000 miles away in our safe in our home. So he had to make all the decisions for me while I was in that coma. And yes, the doctors asked him for that living will. They didn't think I was going to wake up.

If I had not woken up, he would have pulled all the plugs to all the machines I was hooked up to and it would have been the exact thing I would have wanted him to do.

The problem was that the parents couldn't let go. Terri was dead. The fact that her brain had liquified proves that. The brain doesn't revert to that state in a living person.

The only reason she still had a beating heart was because of modern technology. If the technology wasn't available at the time, Terri Schaivo would have been pronounced dead when she was first taken to the hospital and then property laid to rest after.

No parent wants their child to die before them. Everyone understands that. However there's a time to let go. The parents couldn't let go. They put their son in law and our nation through hell because they couldn't let go.

I'm sorry to hear that, and I'm glad to see that you are okay. The fact is though, it wouldn't have harmed anyone to let the parents take her home and care for her until she died naturally. In her condition, it wouldn't have been that long before she passed on naturally.

If she had a living will, then I would have no problem with this. I still think he was cruel to her parents.



So the fact that a judge not once but twice sided with Michael on custody of her doesn't matter to you?

Thank you, I'm alive today but have to deal with the injuries from what put me in that coma for the rest of my life.

Which I can't complain about. If I had not been in that surfing accident I would have died from breast cancer.

So a 15ft wave that I thought nearly killed me, turned out to have saved my life.

The damage done to to my spine couldn't be fixed with surgery on my spine. So I had my breasts reduced to take the pressure off my spine. The tissue that was removed had carcinoma in it. Both breasts. A person usually gets 3 years of life when diagnosed with the type of breast cancer I had. I just passed the 4 year remission mark this month. I've got one more year to go and I can say I beat breast cancer. Something 4 of my relatives couldn't do.

The next time I worked with one of my clients, after the accident, I told her why I wasn't there the year before. She smiled and then said to me, "Cancer had a gift for me." Then walked away to perform her set on stage. As I walked away to go photograph her on stage, I wondered what gift that wave had for me. Six months later I found out. It was literally my life.
 
The autopsy showed NO signs of abuse.

Autopsy: Schiavo Was Not Abused - Fox News

That doesn't mean she wasn't abused. Why would her family say that? Are you saying they were lying?
anecdotal evidence much? :eusa_eh: If fox said it, you can bet your ass its true missy ChrisL because EVERYBODY knows they're the communications arm of the GOP. The Repub party banked on scoring cheap political points off of dragging the husband through living hell & they were wrong.
You know she is dead right? So remind me again.what living hell he is going through ******* his girlfriend and what living hell.her parents go through every day?

Remind me again what pain is worse, you stupid mother ******
reduced to ad homs shit stain? Her brain was liquified. She wasn't "living" she was "existing". You ever take high school biology?
Quit trying to justify death asshat, your trying to kill another human on your terms not there"s
you're the guy that can't spell right? :p I saw you got your ass handed to you yesterday as well lol
 

New Topics

Back
Top Bottom