In Search of ideas for how to Illustrate, Observe, Share, Study, and Maybe Possibly Improve the Human Thought Process.

Chuz Life

Platinum Member
Joined
Jun 18, 2015
Messages
13,837
Reaction score
7,739
Points
1,050
Location
USA
Hi all, given the advancements and availability of AI technologies (Grok, Copilot, ChatGPT, etc.) I'm reminded of an idea I had a long time before AI was really being pushed as it is, everywhere today.

I've always been interested in mapping or illustrating my own "Thought Process" and then the processes of others. Basically, to see where the similarities and differences are. To compare, for example, the thought process on a specific issue between a Conservative and a Liberal.

The closest site that I have found, years ago, is DebateGraph "https://debategraph.org/Stream.aspx?nid=61932&vt=ngraph&dc=focus"

1755320203212.webp


It seemed promising and I tried getting started with it, but today, after looking at it so many years later, it's not as easy to follow and navigate as I would like to use.

It's very easy to imagine a "Blank page" as the starting point for any illustration of a thought process. If you second guess your thoughts as much as I do, it gets a whole lot more difficult to express my own thought process from there.

The brain is a fascinating thing.

Constructive suggestions appreciated.
 
Last edited:
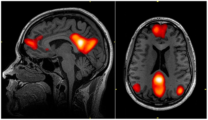
Our brain architecture is very revealing of our "thought process". What you see here is an fMRI image of the Default Mode Network. The red area in back is called the "posterior cingulate cortex".

How it works, is like this: all of our sense feed into the inferior temporal cortex, which recognizes, identifies, and names objects. Once an object has been identified, two additional calculations take place, "where" is it, and what "value" does it have. The value is context sensitive, the same object can have different values in different situations. Then these three elements get combined in the posterior cingulate cortex, where they get formatted into an "episodic memory".

The part that calculates value is the part in front in the image, it's the prefrontal cortex. "How" this information gets separated and then recombined is a fascinating story. Basically though, the value determining part of the circuitry runs the show. Humans use "strategies" for thought processes, and which strategy is in use is determined by what value it has. When a strategy being used has no further value, it's discarded in favor of another.

The map of strategies is a "graph neural network", if you've studied computer science you know a lot about graphs. There are algorithms for finding paths through graphs (basically like navigating a maze), algorithms for calculating the optimal path based on cost or expected reward or situational constraints, algorithms for partitioning graphs (like graph coloring problems and max-cut), and so on. A GNN can do all this and more, it becomes aware of the topology of graphs as it learns, so for instance if you have symmetries in your strategies the GNN will find them and make them available to you.
 

Our brain architecture is very revealing of our "thought process". What you see here is an fMRI image of the Default Mode Network. The red area in back is called the "posterior cingulate cortex".

How it works, is like this: all of our sense feed into the inferior temporal cortex, which recognizes, identifies, and names objects. Once an object has been identified, two additional calculations take place, "where" is it, and what "value" does it have. The value is context sensitive, the same object can have different values in different situations. Then these three elements get combined in the posterior cingulate cortex, where they get formatted into an "episodic memory".

The part that calculates value is the part in front in the image, it's the prefrontal cortex. "How" this information gets separated and then recombined is a fascinating story. Basically though, the value determining part of the circuitry runs the show. Humans use "strategies" for thought processes, and which strategy is in use is determined by what value it has. When a strategy being used has no further value, it's discarded in favor of another.

The map of strategies is a "graph neural network", if you've studied computer science you know a lot about graphs. There are algorithms for finding paths through graphs (basically like navigating a maze), algorithms for calculating the optimal path based on cost or expected reward or situational constraints, algorithms for partitioning graphs (like graph coloring problems and max-cut), and so on. A GNN can do all this and more, it becomes aware of the topology of graphs as it learns, so for instance if you have symmetries in your strategies the GNN will find them and make them available to you.
My wife has an anoxic brain injury, and I have copies of her MRI and the software to view it. One of the creepiest feelings ever, to sit there and look at her scans, and see her injuries in such graphic detail. I can't do it for any real length of time.

However, being a tech guy, I'm fascinated by it too.

Regardless, that wasn't (isn't) my goal in this thread. I'm trying to map out, step by step, how a person (myself especially) navigates through a thought process from start to a final conclusion. And then using and improving that for another problem, and another.

Kind of like a troubleshooting flow chart.
 
Hi all, given the advancements and availability of AI technologies (Grok, Copilot, ChatGPT, etc.) I'm reminded of an idea I had a long time before AI was really being pushed as it is, everywhere today.

I've always been interested in mapping or illustrating my own "Thought Process" and then the processes of others. Basically, to see where the similarities and differences are. To compare, for example, the thought process on a specific issue between a Conservative and a Liberal.

The closest site that I have found, years ago, is DebateGraph "https://debategraph.org/Stream.aspx?nid=61932&vt=ngraph&dc=focus"

View attachment 1149954

It seemed promising and I tried getting started with it, but today, after looking at it so many years later, it's not as easy to follow and navigate as I would like to use.

It's very easy to imagine a "Blank page" as the starting point for any illustration of a thought process. If you second guess your thoughts as much as I do, it gets a whole lot more difficult to express my own thought process from there.

The brain is a fascinating thing.

Constructive suggestions appreciated.
Emotions determine what you think you know, Thats where the answer is
 
Emotions determine what you think you know, Thats where the answer is
That may be true for some people and I would still like to see how their thought process looks. However, it (emotiomal justification) is not what determines what I know or what I think I know. Your comment describes somone whose thinking is a slave to their emotions and therefore can't be objective.

I have examples in my life where my views changed as I learned I was wrong about certain things. Abortion and when and how a human life begins being some of them.

Then too is my knowledge of electronics. How would my "emotions determine what I know" in electronics? Maintenance, troubleshooting, repair techniques, auto repair or fabricating?

I doubt that you attribute everything you KNOW to your emotions, yourself.
 
That may be true for some people and I would still like to see how their thought process looks. However, it (emotiomal justification) is not what determines what I know or what I think I know. Your comment describes somone whose thinking is a slave to their emotions and therefore can't be objective.

I have examples in my life where my views changed as I learned I was wrong about certain things. Abortion and when and how a human life begins being some of them.

Then too is my knowledge of electronics. How would my "emotions determine what I know" in electronics? Maintenance, troubleshooting, repair techniques, auto repair or fabricating?

I doubt that you attribute everything you KNOW to your emotions, yourself.
The way every brain functions is thoughts begin in the limbic system(emotion and memory) which sends an emotional message to the prefrontal cortex(Logic explicit thinking). We can see the process by using active scans of the brain in real time. Emotions can determine what you think you know. The brain is composed of separate systems its not one organ. You have to understand the emotional message. Thats called coherence. Some have high and others low. You can increase it with learning.
Emotions motivate you they are the energy that drives the brain. The LS can take over all control of the brain its the most powerful system and also the oldest and most evolved
 
Play chess ... study hard ... get good ...

This trains the mind to be able to focus all your thought onto a single issue or problem ... not just "over-the-board", but also in Real Life ... you'll learn right away that at our level of play, it's who concentrates the longest is who wins the game ...
 
Play chess ... study hard ... get good ...

This trains the mind to be able to focus all your thought onto a single issue or problem ... not just "over-the-board", but also in Real Life ... you'll learn right away that at our level of play, it's who concentrates the longest is who wins the game ...
Emotions determine how intelligence is applied. He who concentrates the longest is wasting time, has trouble thinking, and doesnt know what to do
 
Emotions determine how intelligence is applied. He who concentrates the longest is wasting time, has trouble thinking, and doesnt know what to do

He who cannot concentrate never knows what to do ... and we label as ADHD ...

Everyone else is somewhere in between ... if emotion determines it's high time to have a good time, then of course spontaneity and thoughtlessness are the order ... but if the deadline for a task is 5pm, maybe it would be good to have the training to concentrate all thought on that task ... like in a game of chess ...

There's a time to think, and there's a time to be thoughtless ... let emotion decide ...
 
The way every brain functions is thoughts begin in the limbic system(emotion and memory) which sends an emotional message to the prefrontal cortex(Logic explicit thinking). We can see the process by using active scans of the brain in real time. Emotions can determine what you think you know. The brain is composed of separate systems its not one organ. You have to understand the emotional message. Thats called coherence. Some have high and others low. You can increase it with learning.
Emotions motivate you they are the energy that drives the brain. The LS can take over all control of the brain its the most powerful system and also the oldest and most evolved
First, you claimed that "emotions determine what we think."

Now, in this post, it is "emotions can determine what we think."

But I digress.

Why does every thread end up diverted like this?
 
Last edited:
First, you claimed that "emotions determine what we think."

Now, in this post, it is "emotions can determine what we think."

But I digress.

Why does every thread end up diverted like this?
, in this post, it is "emotions can determine what we think." we know.

You quoted me wrong. Coherence is the ability to correctly understand the emotional message. Some have high and others low. Emotions are not expressed as words and people can make the wrong interpretation. Then they set erroneous goals as Rudolph Dreikurs would and Alfre Adler would say. Havent you experienced a person doing something really stupid and they dont know why.
The LS can take over total control of your brain if it experiences a threat real or imagined. Anxiety makes people do strange things make poor choices etc.
 
, in this post, it is "emotions can determine what we think." we know.

You quoted me wrong. Coherence is the ability to correctly understand the emotional message. Some have high and others low. Emotions are not expressed as words and people can make the wrong interpretation. Then they set erroneous goals as Rudolph Dreikurs would and Alfre Adler would say. Havent you experienced a person doing something really stupid and they dont know why.
The LS can take over total control of your brain if it experiences a threat real or imagined. Anxiety makes people do strange things make poor choices etc.
Aside from the fact that texting in a forum has its own flaws (especially with sarcasm), this relates to the OP - "HOW?"

I gave you examples, electronics, machine maintenance, fabrication, where the knowledge needed has nothing to do with any sort of an emotional response.

I also gave examples of where I went into an issue with one mindset that I was certainly emotionally attached to (was pro-abortion and thought life begins at birth) to proving myself wrong with the FACTS that challenged my belief and emotions.

Something tells me that you have cherry picked this viewpoint that all learning is determined by emotion, and you've latched onto it.

It still has nothing to do with the OP.
 
Humans use "strategies" for thought processes, and which strategy is in use is determined by what value it has. When a strategy being used has no further value, it's discarded in favor of another.
That's interesting. But aren't strategies largely shaped by experiences? For example it is common for a person to have Liberal/Democrat values and then have Conservative/GOP values when older.
 
Aside from the fact that texting in a forum has its own flaws (especially with sarcasm), this relates to the OP - "HOW?"

I gave you examples, electronics, machine maintenance, fabrication, where the knowledge needed has nothing to do with any sort of an emotional response.

I also gave examples of where I went into an issue with one mindset that I was certainly emotionally attached to (was pro-abortion and thought life begins at birth) to proving myself wrong with the FACTS that challenged my belief and emotions.

Something tells me that you have cherry picked this viewpoint that all learning is determined by emotion, and you've latched onto it.

It still has nothing to do with the OP.
Emotion is the foundation of knowledge. You learn what you enjoy doing. You have beliefs because emotions started the learning process. Emotions caused you to change your mind.

2 brain systems are in play, the limbic system and prefrontal cortex. Both are engaged in your thoughts and actions

Humans are governed by emotions
The authors draw on recent research that demonstrates that human decision-making is governed by two neural systems–the deliberative and the affective, or emotional. The latter, which the authors dub emote control, is much older, and served an adaptive role in early humans by helping them meet basic needs and identify and respond quickly to danger. As humans evolved, however, they developed the ability to consider the long-term consequences of their behavior and to weigh the costs and benefits of their choices. The deliberative system appears to be located in the brain’s prefrontal cortex, which grew on top of but did not replace older brain systems.
 
15th post
That's interesting. But aren't strategies largely shaped by experiences? For example it is common for a person to have Liberal/Democrat values and then have Conservative/GOP values when older.
The authors draw on recent research that demonstrates that human decision-making is governed by two neural systems–the deliberative and the affective, or emotional. The latter, which the authors dub emote control, is much older, and served an adaptive role in early humans by helping them meet basic needs and identify and respond quickly to danger. As humans evolved, however, they developed the ability to consider the long-term consequences of their behavior and to weigh the costs and benefits of their choices. The deliberative system appears to be located in the brain’s prefrontal cortex, which grew on top of but did not replace older brain systems.
 
I ******* give up. **** you all for fucktarding and derailing my thread,
No one did that you just thought you knew all the answers and found out you dont which leads right back to thread.
You just let your emotions take over
I love when im right.
What is Alfred Adler's theory of personality?


AI Overview

Adler's Individual psychology- Discover the 4 Insightful ...

Alfred Adler's theory of personality, known as Individual Psychology, emphasizes the individual's unique striving for significance and belonging within a social context. It posits that people are inherently motivated to overcome feelings of inferiority and to contribute to the collective good, driven by social interest. A key aspect is the concept of "striving for superiority," which is not about dominance but about self-improvement and reaching one's full potential.

Key Concepts in Adler's Theory:
  • Individual Psychology:
    .
    Adler's theory emphasizes the unity and wholeness of the individual, viewing personality as a dynamic, goal-oriented system.

  • Striving for Superiority:
    .
    This is a fundamental drive to overcome feelings of inferiority and to achieve personal growth and mastery. It's not about being superior to others, but about becoming the best version of oneself.

  • Social Interest:
    .
    A sense of community and a desire to contribute to the well-being of others. Adler believed that social interest is crucial for mental health and well-being.

  • Lifestyle:
    .
    A person's unique and consistent pattern of thinking, feeling, and acting, shaped by their goals and experiences.

  • Feelings of Inferiority:
    .

    Adler recognized that feelings of inferiority are a normal part of the human experience and can be a powerful motivator for personal growth.

  • Fictional Finalism:
    .
    Adler proposed that individuals are guided by fictional goals that may not be entirely realistic but provide direction and purpose.

  • Family Constellation:
    .
    Adler believed that a person's position within the family (birth order, sibling
 
No one did that you just thought you knew all the answers and found out you dont which leads right back to thread.
You just let your emotions take over
I love when im right.
What is Alfred Adler's theory of personality?


AI Overview

Adler's Individual psychology- Discover the 4 Insightful ...'s Individual psychology- Discover the 4 Insightful ...

Alfred Adler's theory of personality, known as Individual Psychology, emphasizes the individual's unique striving for significance and belonging within a social context. It posits that people are inherently motivated to overcome feelings of inferiority and to contribute to the collective good, driven by social interest. A key aspect is the concept of "striving for superiority," which is not about dominance but about self-improvement and reaching one's full potential.

Key Concepts in Adler's Theory:
  • Individual Psychology:
    .
    Adler's theory emphasizes the unity and wholeness of the individual, viewing personality as a dynamic, goal-oriented system.

  • Striving for Superiority:
    .
    This is a fundamental drive to overcome feelings of inferiority and to achieve personal growth and mastery. It's not about being superior to others, but about becoming the best version of oneself.

  • Social Interest:
    .
    A sense of community and a desire to contribute to the well-being of others. Adler believed that social interest is crucial for mental health and well-being.

  • Lifestyle:
    .
    A person's unique and consistent pattern of thinking, feeling, and acting, shaped by their goals and experiences.

  • Feelings of Inferiority:
    .

    Adler recognized that feelings of inferiority are a normal part of the human experience and can be a powerful motivator for personal growth.

  • Fictional Finalism:
    .
    Adler proposed that individuals are guided by fictional goals that may not be entirely realistic but provide direction and purpose.

  • Family Constellation:
    .
    Adler believed that a person's position within the family (birth order, sibling
More Bullshit and still not in line with the idea put forth in the OP.

 
Back
Top Bottom